歯周病は定期検診で早期発見に
努めましょう

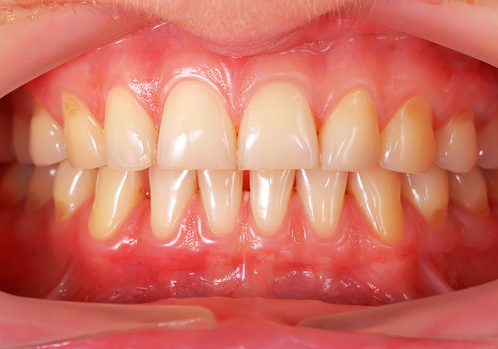
このような症状はありませんか?
- 歯ぐきが腫れている
- 歯ぐきの色が赤い
- 歯ぐきが下がって歯と歯の間に
すき間がある - 歯が長くなったように見える
- 歯を磨くと歯ぐきから出血しやすい
- 朝起きるとお口の中が
ネバネバしている
歯周病とはどのような病気?

歯周病は、日本人が歯を失う原因の第1位です。歯周病の初期症状の一つである「歯ぐきからの出血」は、すべての年代の約4割の方にみられ、若い方でも発症する可能性がある病気です。
歯と歯ぐきを支える組織が細菌によって炎症を起こすと、歯ぐきが溶けて歯を支える骨が失われます。歯がぐらぐらしたり、最悪の場合には歯を失ったりする恐れもあります。
また、歯周病は、心疾患や脳疾患、誤嚥性(ごえんせい)肺炎や糖尿病など、全身の病気と深い関係があることがわかっており、早期の予防と治療が非常に重要です。
歯周病を予防するためには、日々の歯磨きでしっかりとお口の汚れを取り除き、歯科での定期検診でプロによるお口のクリーニングとお口のチェックを受けることが大切です。
当院の院長は、歯周病治療に特化した歯科医院での勤務により、歯周病治療において多くの経験を積んできました。幅広い症例に対応可能ですので、ほかの歯科医院を受診されている方も、セカンドオピニオンとして当院までご相談ください。
歯と歯ぐきを支える組織が細菌によって炎症を起こすと、歯ぐきが溶けて歯を支える骨が失われます。歯がぐらぐらしたり、最悪の場合には歯を失ったりする恐れもあります。
また、歯周病は、心疾患や脳疾患、誤嚥性(ごえんせい)肺炎や糖尿病など、全身の病気と深い関係があることがわかっており、早期の予防と治療が非常に重要です。
歯周病を予防するためには、日々の歯磨きでしっかりとお口の汚れを取り除き、歯科での定期検診でプロによるお口のクリーニングとお口のチェックを受けることが大切です。
当院の院長は、歯周病治療に特化した歯科医院での勤務により、歯周病治療において多くの経験を積んできました。幅広い症例に対応可能ですので、ほかの歯科医院を受診されている方も、セカンドオピニオンとして当院までご相談ください。
歯周病のセルフチェックをしてみましょう

- 歯磨きをすると出血することがある
- 歯ぐきが赤い、腫れて
ブヨブヨしている - 起床時に口の中がネバネバしている
- 歯と歯のすき間があり、食べものが
挟まりやすい - 歯が浮いたように感じる
- 口臭がひどくなった
- 硬いものが食べにくい
- 歯がグラグラしている
- 歯ぐきから膿が出る
- 歯ぐきが下がって、歯の根元が
見えている
歯周病の原因とは?

歯周病のおもな原因は、歯に付着する「プラーク(歯垢)」に含まれる細菌です。プラークとは、細菌が集まってできたかたまりのようなもので、白くネバネバしています。この細菌が歯と歯ぐきのすき間にある「歯周ポケット」の中で増殖し、歯ぐきや歯を支える骨に炎症を引き起こすのです。
歯周病を予防するためには、この歯垢を取り除くことを目的とした「プラークコントロール」が最も重要になります。
歯周病を予防するためには、この歯垢を取り除くことを目的とした「プラークコントロール」が最も重要になります。
歯周病と全身の病気との関係

歯周病は、お口の問題だけにとどまらず、全身の健康にも影響を与える可能性があります。
歯周病菌が出す毒性物質が歯ぐきの血管に入り込んで全身を巡ることで、心疾患や脳疾患、誤嚥性(ごえんせい)肺炎、糖尿病などの病気を引き起こしたり悪化させたりする原因になるのです。また、妊娠している女性の早産や、低出生体重児の出産などを引き起こすこともわかっています。
定期的な歯科検診と適切なお口のケアが歯周病の早期発見と予防につながり、歯周病はもちろん、全身の健康リスクを軽減することにもなるのです。
歯周病菌が出す毒性物質が歯ぐきの血管に入り込んで全身を巡ることで、心疾患や脳疾患、誤嚥性(ごえんせい)肺炎、糖尿病などの病気を引き起こしたり悪化させたりする原因になるのです。また、妊娠している女性の早産や、低出生体重児の出産などを引き起こすこともわかっています。
定期的な歯科検診と適切なお口のケアが歯周病の早期発見と予防につながり、歯周病はもちろん、全身の健康リスクを軽減することにもなるのです。
歯周病はどうやって
進行するの?

歯肉炎
周病の初期段階で、歯ぐきに炎症が起きている状態です。
適切なケアが行われない場合、歯肉炎は進行して、より深刻な歯周病(歯周炎)を引き起こします。この時点で歯科で治療を始めることが大切です。
適切なケアが行われない場合、歯肉炎は進行して、より深刻な歯周病(歯周炎)を引き起こします。この時点で歯科で治療を始めることが大切です。

歯周炎(軽度)
歯肉炎が進行し、歯ぐきや歯を支える骨が溶け始めている状態で、歯周ポケットが4〜5mmと深くなります。軽度の歯周炎であれば、お口のケア方法の見直しやお口のクリーニングで回復する可能性があります。

歯周炎(中度)
歯周ポケットの深さが5〜6mm程度に達し、ポケットが深くなることで、プラークが除去しにくくなります。口臭も強くなって、歯を支える骨が大きく破壊されて歯が不安定になり、食事がしにくくなることがあります。

歯周炎(重度)
歯周病が最も進行した段階で、歯周ポケットの深さが6mm以上になり、歯を支える骨や組織に深刻な影響を与えている状態です。
歯周ポケットが深くなることで、溜まったプラークが除去できず、治療が困難になります。この状態が進行すると、歯が抜け落ちる可能性も高くなります。
歯周ポケットが深くなることで、溜まったプラークが除去できず、治療が困難になります。この状態が進行すると、歯が抜け落ちる可能性も高くなります。
歯周病治療の流れ

各種検査
適切な歯周病治療を行うために検査を行います。

カウンセリング
検査結果をもとに、患者さまのお口の状態をわかりやすく説明します。治療計画をご提案し、了承をいただいてから治療を始めます。

歯周基本治療
歯周病の進行の程度にかかわらず、まずは歯周基本治療を行います。
ブラッシング指導
患者さまのお口に合わせて、ブラッシング方法をアドバイスいたします。デンタルフロスや歯間ブラシの選び方・使い方もお伝えしますので、ご自宅でのケアに取り入れるようにしてください。
スケーリング
スケーリングとは、歯科で行われるクリーニングの一種で、歯の表面や歯周ポケットに付着したプラークや、プラークが硬くなった歯石を取り除く処置のことです。
プラークや歯石には、歯周病の原因となる細菌を多く含んでいます。これらを取り除くことで、歯周病菌の増殖を防ぎます。
ブラッシング指導
患者さまのお口に合わせて、ブラッシング方法をアドバイスいたします。デンタルフロスや歯間ブラシの選び方・使い方もお伝えしますので、ご自宅でのケアに取り入れるようにしてください。
スケーリング
スケーリングとは、歯科で行われるクリーニングの一種で、歯の表面や歯周ポケットに付着したプラークや、プラークが硬くなった歯石を取り除く処置のことです。
プラークや歯石には、歯周病の原因となる細菌を多く含んでいます。これらを取り除くことで、歯周病菌の増殖を防ぎます。

進行した歯周病の治療
歯周基本治療で歯垢や歯石を除去しても、症状が改善しない場合に行う外科的な治療です。
歯周外科治療
「フラップ手術」ともいわれる治療です。歯ぐきを切り開き、歯の根に付着している歯垢や歯石を直接取り除きます。
歯周組織再生療法
歯周病によって失われた歯を支える骨や歯周組織を再生させる治療です。この再生治療で組織を再生させることで、歯周病の進行を食い止め、歯を抜かずに治療できる可能性があります。
歯周外科治療
「フラップ手術」ともいわれる治療です。歯ぐきを切り開き、歯の根に付着している歯垢や歯石を直接取り除きます。
歯周組織再生療法
歯周病によって失われた歯を支える骨や歯周組織を再生させる治療です。この再生治療で組織を再生させることで、歯周病の進行を食い止め、歯を抜かずに治療できる可能性があります。

メンテナンス・定期検診
歯周病の治療が終わった後も、定期検診でメンテナンスにお越しください。
ご自宅で行う「セルフケア」と、歯科医院で行う「プロケア」を併用することで、歯周病やむし歯になりにくい健康なお口を作ることができまです。
ご自宅で行う「セルフケア」と、歯科医院で行う「プロケア」を併用することで、歯周病やむし歯になりにくい健康なお口を作ることができまです。
歯周病を予防する効果的な方法

丁寧なブラッシング
歯周病を予防するためには、毎日の歯磨きが基本となります。当院では、患者さまのお口の中にある「磨きにくい場所」や「汚れが溜まりやすい場所」をお伝えし、お一人お一人に合わせた丁寧なケア方法をお伝えします。

歯科での定期検診
ご自身でどれだけ丁寧に歯を磨いていても、どうしても磨き残しは発生します。溜まった汚れは、歯科のクリーニングで取り除きましょう。定期検診は、3ヶ月に一度くらいをおすすめしています。

禁煙
タバコは歯周組織に悪影響を及ぼし、歯周病の発症リスクや進行を高める原因になります。タバコに含まれるニコチンなどの成分は、血管を収縮させ、歯ぐきへの血流を減少させるため、必要な栄養や酸素が届きにくくなり、歯周病にかかりやすくなるのです。